ΑΝΕΥΡΥΣΜΑΤΙΚΗ ΝΟΣΟΣ
ΑΝΕΥΡΥΣΜΑ
Τι είναι το ανεύρυσμα;
Πού εμφανίζονται τα ανευρύσματα;
- Κοιλιακή αορτή (ΚΑΑ) – η πιο συχνή εντόπιση
- Θωρακική αορτή (ΑΘΑ)
- Αρτηρίες των κάτω άκρων –Ιγνυακή, μηριαία αρτηρία κτλπ.
- Σπλαχνικές/νεφρικές αρτηρίες – σπληνική, ηπατική, νεφρική αρτηρία κτλπ.
- Υποκλείδια και καρωτίδες – σπανιότερα, αλλά δυνητικά επικίνδυνα
- Εγκεφαλικές αρτηρίες
Α. ΑΝΕΥΡΥΣΜΑΤΑ ΑΟΡΤΗΣ
Τι είναι το ανεύρυσμα της αορτής;
- Παθολογική διάταση της κοιλιακής ή θωρακικής μοίρας της αορτής λόγω εκφύλισης του τοιχώματός της.
- Ορίζεται ως διάμετρος >3.0 εκ. στην κοιλιακή ή >4.0 εκ. στη θωρακική αορτή.
Ποια ανευρύσματα είναι τα πιο συχνά;
• Το ανεύρυσμα κοιλιακής αορτής (ΑΚΑ) είναι το συχνότερο – κυρίως σε άνδρες >65 ετών.
• Το ανεύρυσμα θωρακικής αορτής (ΑΘΑ) εμφανίζεται συχνότερα σε άτομα με υπέρταση ή γενετικά σύνδρομα.
Ποια είναι η κύρια αιτία σχηματισμού τους;
- Αθηρωματική εκφύλιση
- Χρόνια υπέρταση
- Γενετική προδιάθεση (π.χ. Marfan, Loeys-Dietz)
- Ιστορικό καπνίσματος.
Υπάρχουν συμπτώματα;
- Τα περισσότερα ανευρύσματα είναι ασυμπτωματικά και εντοπίζονται τυχαία σε απεικονιστικό έλεγχο.
• Σε ορισμένες περιπτώσεις, προκαλούν αλγώδη αίσθηση ή ψηλαφητό σφύζον μόρφωμα.
• Η ρήξη εκδηλώνεται με έντονο κοιλιακό ή οσφυϊκό άλγος και αιμοδυναμική αστάθεια – αποτελεί κατεπείγουσα κατάσταση.
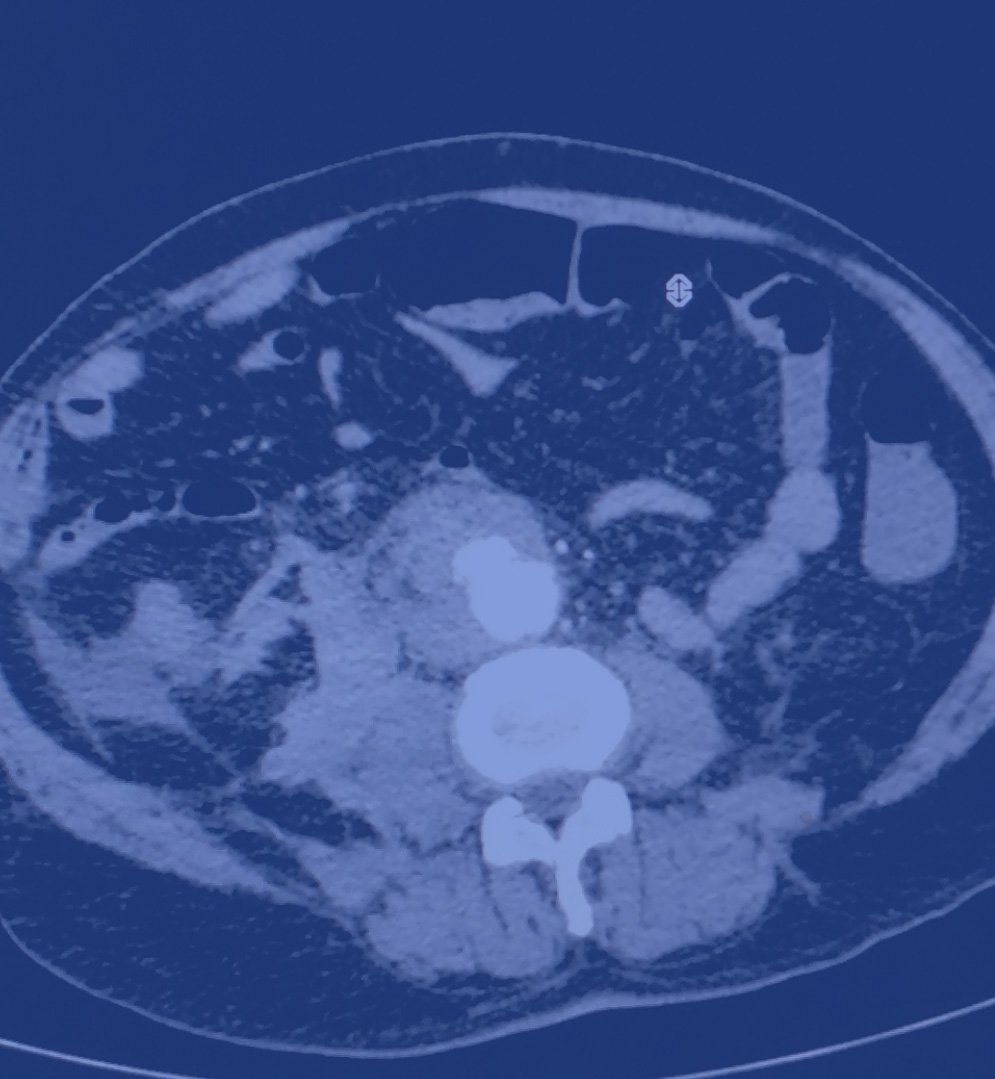
Πώς γίνεται η διάγνωση;
- Με υπερηχογράφημα κοιλίας (triplex) ή αξονική αγγειογραφία, ανάλογα με την ανατομική θέση.
- Η αξονική τομογραφία είναι απαραίτητη για προεγχειρητικό σχεδιασμό.
Πότε ένα ανεύρυσμα χρειάζεται χειρουργική αντιμετώπιση;
- 5.5 εκ. για την κοιλιακή αορτή (ή 5.0 εκ. σε γυναίκες)
- 6.0 εκ. για τη θωρακική αορτή
- Σε ταχεία αύξηση μεγέθους ή παρουσία συμπτωμάτων απαιτείται άμεση επέμβαση.
Ποιες είναι οι θεραπευτικές επιλογές;
- Ενδαγγειακή αποκατάσταση (EVAR/TEVAR): με τοποθέτηση καλυμμένου μοσχεύματος (stent graft) μέσω μηριαίας προσπέλασης.
- Ανοικτή χειρουργική επέμβαση: με αντικατάσταση του ανευρυσματικού τμήματος με συνθετικό μόσχευμα.
- Η επιλογή εξαρτάται από την ανατομία, τη γενική κατάσταση του ασθενούς και την τεχνική καταλληλότητα.
Ποια είναι τα πλεονεκτήματα της ενδαγγειακής μεθόδου (EVAR);
- Ελάχιστα επεμβατική.
- Σημαντικά μικρότερη νοσηλεία και ταχύτερη ανάρρωση.
- Χαμηλότερα ποσοστά περιεγχειρητικής θνητότητας.
- Απαιτεί όμως συστηματική παρακολούθηση για έλεγχο πιθανών ενδοδιαφυγών (endoleaks).
Ποια είναι τα πλεονεκτήματα της ανοικτής αποκατάστασης;
- Παρέχει οριστική λύση χωρίς ανάγκη μακροχρόνιας παρακολούθησης.
- Κατάλληλη για ασθενείς με ανατομικά μη προσβάσιμα ανευρύσματα για ενδαγγειακή προσέγγιση.
Τι θεωρείται επιπλεγμένο ανεύρυσμα (complex aortic aneurysm);
Ανεύρυσμα με ανατομικά χαρακτηριστικά που καθιστούν δύσκολη ή ακατάλληλη τη συμβατική ενδαγγειακή αποκατάσταση.
Ποιες είναι οι διαθέσιμες ενδαγγειακές τεχνικές για επιπλεγμένα ανευρύσματα;
- Fenestrated EVAR (FEVAR): χρήση μοσχεύματος με ειδικά ανοίγματα (fenestrations) για τα νεφρικά ή άλλες αρτηρίες.
- Branched EVAR (BEVAR): μοσχεύματα με έτοιμους κλάδους για ανακατασκευή σπλαχνικών αγγείων.
- Chimney ή snorkel techniques: παράλληλη τοποθέτηση stents σε ζωτικά αγγεία για διατήρηση βατότητας.
Πώς επιλέγεται η κατάλληλη τεχνική;
- Βάσει της ακριβούς ανατομίας του ανευρύσματος από αξονική αγγειογραφία υψηλής ανάλυσης.
- Απαιτεί προσεκτικό σχεδιασμό με εξειδικευμένα λογισμικά και προσαρμοσμένες ενδοπροθέσεις.
Ποιες είναι οι συχνότερες επιπλοκές της ανοικτής αποκατάστασης;
- Καρδιοαναπνευστικές επιπλοκές: π.χ. έμφραγμα, πνευμονία
- Νεφρική ανεπάρκεια: ιδιαίτερα σε ηλικιωμένους ή με προϋπάρχουσα δυσλειτουργία
- Λοίμωξη τραύματος ή του μοσχεύματος (graft infection)
- Αιμορραγία ή ανάγκη για μετάγγιση
- Παροδική ή μόνιμη παράλυση εντέρου (ειλεός)
- Σε κατιούσα θωρακική/θωρακοκοιλιακή αορτή: σπανίως παραπληγία λόγω ισχαιμίας νωτιαίου μυελού
- Μακροπρόθεσμα: ψευδοανευρύσματα στις αναστομώσεις, αποφράξεις μοσχευμάτων
Ποιες είναι οι συχνότερες επιπλοκές της ενδαγγειακής αποκατάστασης (EVAR);
- Endoleak (διαφυγή αίματος γύρω από το μόσχευμα):
- Τύπου Ι: κακή σφράγιση στα άκρα → απαιτεί επανεπέμβαση
- Τύπου ΙΙ: παλινδρόμηση αίματος από παράπλευρα αγγεία (πχ σπονδυλική αρτηρία)
- Μετατόπιση ή λύγισμα του μοσχεύματος (graft migration/kinking)
- Θρόμβωση
- Ανεύρυσμα δεν συρρικνώνεται – παραμονή πίεσης στον σάκο
- Ρήξη αορτής (σπάνια αλλά σοβαρή)
- Αντίδραση στο σκιαγραφικό μέσο (νεφροτοξικότητα)
- Απαιτεί παρακολούθηση εφ’ όρου ζωής με CT ή U/S
Ποιες είναι οι διαφορές στον κίνδυνο θνητότητας και επιπλοκών μεταξύ των δύο μεθόδων;
- SVS Practice Guidelines on AAA Management (2021)
- ESVS Guidelines on Aortic Aneurysm (2019)
| Παράμετρος | Ανοικτή Χειρουργική | EVAR |
| Ενδονοσοκομειακή θνητότητα | 3–5% | 1–2% |
| Καρδιοαναπνευστικός κίνδυνος | Υψηλότερος | Μικρότερος |
| Ανάγκη επανεπέμβασης (5–10 έτη) | Σπάνια | Συχνότερη λόγω endoleaks ή migration |
| Μακροχρόνια επιβίωση | Ίση ή καλύτερη σε νέους | Καλύτερη αρχικά, μειώνεται μετά 5 έτη |
Ποια είναι τα πλεονεκτήματα της ενδαγγειακής θεραπείας σε επιπλεγμένα ανευρύσματα;
- Αποφυγή μεγάλης χειρουργικής τομής και σπλαχνικής ισχαιμίας.
- Σημαντικά μειωμένη νοσηρότητα και θνητότητα σε σύγκριση με την ανοικτή θωρακοκοιλιακή αποκατάσταση.
- Δυνατότητα εφαρμογής σε ασθενείς υψηλού κινδύνου.
Ποιες είναι οι προϋποθέσεις για ενδαγγειακή αποκατάσταση σε τέτοια περιστατικά;
- Εξειδικευμένη αγγειοχειρουργική ομάδα με εμπειρία στις προηγμένες τεχνικές.
- Πρόσβαση σε κατάλληλο υβριδικό χειρουργείο και εξοπλισμό για ακριβή τοποθέτηση των μοσχευμάτων.
- Συστηματική μετεγχειρητική παρακολούθηση με αξονικές αγγειογραφίες.
Υπάρχουν κίνδυνοι ή περιορισμοί;
- Η ενδαγγειακή αντιμετώπιση επιπλεγμένων ανευρυσμάτων απαιτεί πολύ υψηλή τεχνική ακρίβεια.
- Ενδέχεται να παρουσιαστούν ενδοδιαφυγές (endoleaks) ή θρόμβωση παρακλάδων, γι’ αυτό απαιτείται μακροχρόνια παρακολούθηση.
- Όχι όλα τα περιστατικά είναι κατάλληλα για ενδαγγειακή θεραπεία – η επιλογή είναι εξατομικευμένη.
Γιατί είναι κρίσιμη η εξειδίκευση του αγγειοχειρουργού;
Η επιτυχία της θεραπείας και η πρόληψη επιπλοκών εξαρτώνται από:
▪ Τη σχολαστική μελέτη της διαγνωστικής απεικόνισης,
▪ Τον ακριβή προεγχειρητικό σχεδιασμό,
▪ Την κατάλληλη επιλογή μεθόδου,
▪ Και την εκπαίδευση σε εξειδικευμένες τεχνικές.
Η ομάδα της αγγειοχειρουργικής μας μονάδας διαθέτει την εμπειρία και την τεχνογνωσία για ακριβή απεικονιστική εκτίμηση, σύγχρονες ενδαγγειακές παρεμβάσεις (EVAR/TEVAR) και εξατομικευμένο σχεδιασμό θεραπείας με στόχο τη μακροπρόθεσμη ασφάλεια και αποτελεσματικότητα.
"Επιστρέψαμε στην Ελλάδα για να προσφέρουμε με εμπειρία, υπηρεσίες προηγμένης ελάχιστα επεμβατικής Αγγειοχειρουργικής. Μη διστάσετε να μας συμβουλευτείτε για πρώτη ή και για δεύτερη γνώμη πριν το χειρουργείο."
Αλκης Μποντίνης, Ευάγγελος Μποντίνης, Αγγειοχειρουργοί


